
| Fertility / Pelvic Scan Only | £120.00 |
Are you …?
trying to conceive naturally, without success
concerned about the condition of your womb or ovaries
thinking about In Vitro Fertilisation or already undergoing IVF treatment
seeking to detect the presence or position of an intra-uterine contraceptive device (coil)
A Fertility / Pelvic Scan will assess the situation and inform you how best to increase your probability of conceiving.
The Ultrasound Best Fertility / Pelvic Scan applies multiple techniques, including:
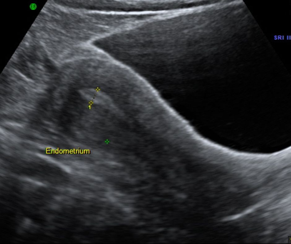
Endometrial Thickness Scan
As the name suggests, this scan measures the width of the lining of the uterus (the endometrium) and its condition. An examination of this kind can detect changes that happen during the monthly cycle and estimate ovulation; it can also monitor responses in the womb to fertility drugs. The purpose is to predict when ovulation will peak hence to suggest a timing to increase the patient’s probability of conceiving, whether naturally or through fertility treatment.
Ovarian Follicle Tracking Scan
This scan measures the size of the fluid filled sacs in the ovaries that can contain eggs - called follicles - to estimate when ovulation is likely to happen and so increase the probability of conception, whether naturally or through fertility treatment.
Pelvic Scan
To check the uterus, cervix, endometrium, ovaries, fallopian tube and adnexa
During the scan you will be able to see the pictures of the womb on the big screen. The sonographer will show and tell you as much as possible and capture a number of images. You will be offered two photos from the scan and the rest will be on a USB.
What we learn through the combination of the three kinds of scan:
The Fertility service will also:
Ultrasound Best will give you the results of your examination in a report at the end of the appointment for you to share with your specialist.
Special Considerations & Preparation
Fertility /Pelvic Scans are of an intimate nature and require the use of an internal - trans-vaginal - ultrasound probe.
Acceptance of the Terms & Conditions for Fertility / Pelvic Scans at the time of booking will confirm consent.
We recommend patients wear a skirt or dress or loose fitting garments to allow easy examination.
We recommend that you do not empty your bladder for about one hour before the appointment and use the lavatory only upon being directed to by the sonographer.
| Appointment Duration | 45 minutes – from arrival to expected departure; please arrive on time but not very early |
| Ultrasound Scan Duration | 15-20 minutes |
| Photographs | 2 |
| Findings Report | 1 |
| Who's Coming? | Service User and usually up to 4 family and friends. During Coronavirus measures only one extra person can accompany mum. |
A deposit of £10.00 is required at the time of booking and the balance is to be paid by card or cash in person on arrival.
The quality of the visual result of the scan is dependent on the amount of tissue (skin, muscle, BMI etc) between the ultrasound probe and the womb. A good image is almost always obtained but it cannot be guaranteed.
For full General Terms and conditions please click here
IMPORTANT: Clients must be aged 18+ by the date of their appointment in order to receive any scan from Ultrasound Best. Photo ID will be required for all scans to verify age. Failure to provide age verification may result in your scan being refused, and the scan fee forfeited.